안녕하세요. 오늘은 지난 포스팅에서 다루었던 척추협착증(Stenosis)에 대한 내용을 계속해보려고 합니다.지난 포스팅을 통해 척추에 대한 기초해부학, 그리고 디스크와 협착증 증상에 대한 차이와 협착증이 의심될 때 시행할 수 있는 이학적 검사에 대해 알아봤습니다!!해당 내용에 대해 궁금하신 점은 아래 링크를 통해 확인해주세요~
![]()
요통의 원인 중 하나인 척추협착증(Spinal stenosis)에 대해서? 허리디스크와 척추협착증의 차이 [Part1] 안녕하세요~ 요통을 일으키는 척추질환에는 다양한 질환이 존재합니다! 척추디스크(HIVD) … blog.naver.com
상기의 내용을 보고 계시지 않는 때문에 쉽게 설명 하자면 협착증은 척추 구조물인 허리통(foraminal)에 따라서 뇌에서 연결된 척수(spimal cord)이 지나는 공간을 말합니다. 이런 척수가 지나가기 때문의 공간에는 양쪽의 후궁(lamina)촉각을 덮고 황색 인대(flavum ligament)이 존재하지만 다양한 이유로 척수가 지나는 공간이 좁아지는 통증을 호소하는 현상을 말합니다! 그럼 오늘 본 내용에 와서 척추 협착증 때 나타나는 복사 통과 수술에 대해서 봅시다!먼저 척추별 복사 모습의 위치입니다!!척추 협착증이 있을 때, 경추 또는 요추로 그 증상이 나타났을 때 그 부위에서 통증이 아니라 손발에 방사 통(radiatin)가 나타납니다!방사 통의 위치에 의해서 손상된 척추의 위치가 의심되는 것이 있는데, 아래의 그림을 통해서 척추별 복사 모습의 위치를 한번 알아보겠습니다!!
![]()
위 그림에서 경추, 흉추, 요추에 대한 협착 위치가 어디서 나타나는지 의심할 수 있습니다!더 크게 분류하자면 경추는 목과 팔 쪽에 신경이 분포하고 있고 흉추는 몸통과 팔 안쪽에 요추와 천추는 하지 쪽에 분포하고 있습니다!쉽게 하지 쪽에 저림 증상이 나타나면 요추, 치아키(L1~S5)까지의 범위가 의심됩니다!지금부터 척추협착증시 시행되는 수술에 대해 알아보겠습니다!!척추협착증 수술로는 주로 한쪽 후궁 제거 및 양쪽 감압술(Unilateral Laminectomy for Bilateral Decompression)을 시행하고 있습니다! 한쪽 후궁 제거 및 감압술은 수술명대로 한쪽 후궁만 제거하고 신경을 압박하는 감압술을 시행합니다!** 감압술(Decompression) : De(제거) + Compression(압력) = 압력을 제거하는 수술
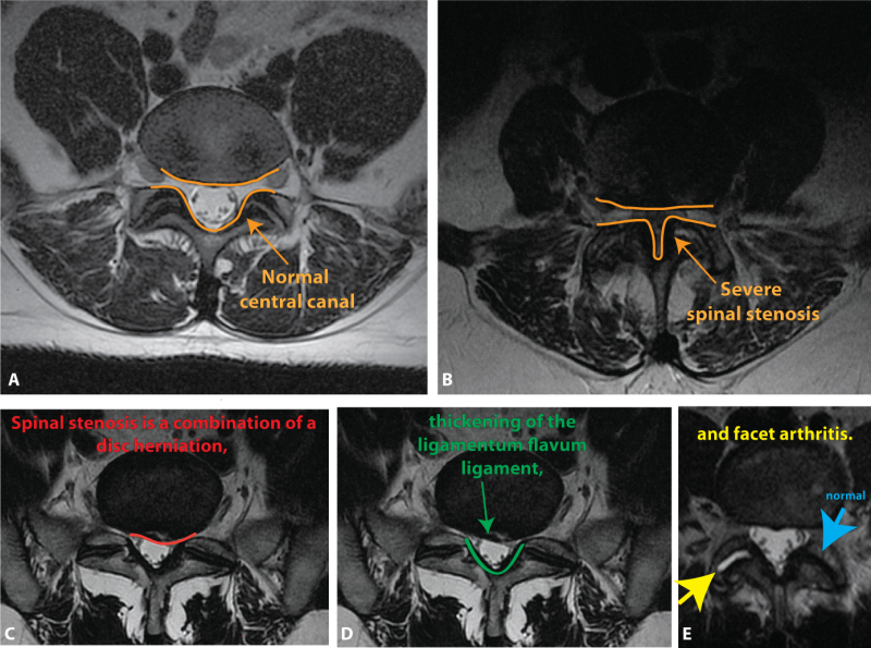
척추 구조물을 보면 양쪽으로 뻗기 위한 횡돌기(transverse process)가 존재하고 있습니다.여기서 중간으로 이어지는 후궁(lamina)이 존재합니다.디스크 구멍이 좁아지는 이유 중 가장 큰 원인은 황색인대가 비대해지기 때문입니다!황색인대는 위에서 설명한 것처럼 신경과 신경을 덮는 기능을 하고 있습니다! 후궁 앞에 황색인대가 비대해지면 추간판공의 공간이 좁아지고 이를 통과하는 척수에 압력이 가해져요!

이렇게 비대해진 황색인대를 제거하기 위해 황색인대 제거술(flavectomy)을 시행합니다!! 여기서 황색인대는 그림과 같이 신경관 안쪽에 위치하고 있습니다! 이런 황색인대를 제거하기 위해서는 후궁을 제거해야만 진행이 가능합니다.즉!! 인대를 제거하기 위해서는 후궁골에 제거를 같이 가서 하는 거예요!(ex, 수술을 받았는데 뼈는 손을 데지 않고 인대만 제거했어요!) 이런 말을 하는 환자들이 있는데 뼈에 손을 데지 않고 노란색 대만만 손을 뗄 수는 없어요.) 후궁 절제 범위의 경우 그 환자의 협착 상태에 따라 절개가 분류됩니다!첫째, 후궁골을 가볍게 절제하는 laminotomy 둘째, 후궁골을 절제하는 laminectomy 셋째, 완전히 제거하고 인공구조물을 삽입하여 고정하는 lamiplasty가 존재합니다!
이렇게 비대해진 황색인대를 제거하기 위해 황색인대 제거술(flavectomy)을 시행합니다!! 여기서 황색인대는 그림과 같이 신경관 안쪽에 위치하고 있습니다! 이런 황색인대를 제거하기 위해서는 후궁을 제거해야만 진행이 가능합니다.즉!! 인대를 제거하기 위해서는 후궁골에 제거를 같이 가서 하는 거예요!(ex, 수술을 받았는데 뼈는 손을 데지 않고 인대만 제거했어요!) 이런 말을 하는 환자들이 있는데 뼈에 손을 데지 않고 노란색 대만만 손을 뗄 수는 없어요.) 후궁 절제 범위의 경우 그 환자의 협착 상태에 따라 절개가 분류됩니다!첫째, 후궁골을 가볍게 절제하는 laminotomy 둘째, 후궁골을 절제하는 laminectomy 셋째, 완전히 제거하고 인공구조물을 삽입하여 고정하는 lamiplasty가 존재합니다!

라미오프라스트
이렇게 척추협착증 수술에 대해 황색인대 제거를 위해 한쪽 후궁 제거 및 양쪽 감압술을 시행하는 것입니다!이런 수술을 하기 위해서는 내시경 또는 현미경을 통해 미세한 부분을 절개하여 공간을 넓혀줍니다!! 오늘은 척추협착증 때 나타나는 방사통이 몇 번 척추를 의심할 수 있는가 하는 척추별 방사통의 위치와 협착증이 심해져서 결국 수술을 할 때 어떤 수술을 받게 되는지 소개해드렸습니다!모든 근골격계 질환이 동일하지만 오래 방치할수록 더 큰 수술로 진행될 가능성이 높아집니다!증상이 나타나면 즉시 병원에 가서 전문의와 상담 후 빠른 조치를 받는 것이 좋습니다!다음 포스팅에서는 협착증 수술 후 재활운동에 대해 알아보겠습니다!!오늘도 긴글 읽어주셔서 감사합니다~!항상 운동은 조심하고 건강해지려는 운동이 오히려 악이 되지 않도록 모두가 행복하고 즐겁게 운동했으면 좋겠어요!!!