너무 힘들었던 임신 7주, 임신 8주차의 기록
원래는 임신했다면 열심히 그때마다 기록을 해야한다고 생각했는데.. 입덧으로 아무것도 못했어- 지금부터라도 기억을 더듬어 열심히 기록해야지!임신 7주차 – 점점 심해지는 입덧! 디클락틴 처방, 신디로이드 복용, 흉통

일찍 시작된 나의 입덧 ㅠㅠ 5주차부터 시작해서 7주차는 더 심해졌다. 안먹으면 안먹고 울울울~ + 밤에는 토하고… 아이올라의 김태희 선생님은 입덧약을 먹어야할 정도였고, 집에 가기 전에 입덧 수액도 받으라고 처방해주셨다.


#입덧 #입덧 #입덧 수액이 너무 힘들어서 맞은 수액을 누우기도 힘든 상태였는데 일단 누워서… 15분 정도 됐나… 기분도 안 좋아지고 다시 앉아서 맞고 다시 누워있고 시간이 지나고 순식간에 지나가는 느낌40여 분 시간이 흘렀지만 결국 다 맞지 않아 중간에 빼달라고 했다. 그래도 뭔가 수액을 뒤집어쓰면 마실 수 없는 물 대신 수분이 채워져서 그런지 조금 나아진 느낌. 구토를 완화하는 것도 함께 맞았는데 그 때문인지 집에 돌아와 보니 평소보다 조금 나아졌다. 오래 가지 못하다가 혹시 입덧으로 맞은 링거가 실비가 되는지 물어봤지만 입덧 완화로 맞은 링거는 실비 청구를 할 수 없다고 했다.

#과일 #샤인마스켓 친구가 보내준 #샤인마스켓 아무것도 못먹어 ㅠㅠ 친구가 고생한다고 보내줬어그래도 과일이 새콤달콤해서 그런지 목구멍으로 넘어가는 편이었는데 샤인머스켓은 하나씩 들어갔어(웃음)
#디클렉틴 #입덧약은 일단 2주일 치 처방을 받았지만 의료보험이 적용되지 않는 약이라 턱없이 비쌌다. 2주치였는데 4만원이 넘었다고 기억…복용법은 자기 전에 2정을 먹고 오전 오후에도 심하면 1정 1정을 추가해 하루에 총 4정까지 복용할 수 있는 약이다.부작용으로는… 잘 수도 있고 무기력할 수도 있다고 했다.나의 경우는 오전 3시에 최고조라서, 밤 8시 30분쯤에 두 알을 먹기로 했다. 처방받고 먹은 날 바로 토해버린 것 같아서 바로 중단ㅠㅠ그냥 참고 먹고 싶었는데 그때가 아닌 것 같아서 바로 중단했어.알몸으로 견뎌낸 7주차 *7주차 증상 *1) 계속되는 입덧 점점 심해지는 (입덧, 입덧, 양치질) 2) 갈색 냉 지속 3) 가슴 통증
#갈색냉 #갈색피 #피바다 임신 완전 초기부터 비친 갈색냉은 여전히 이어졌다.많은 양은 아니지만 그래도 피눈물 때문에 걱정됐던 것은 사실 아이올라 방문 때마다 말씀드려 확인해봐도 피고가 아니라 질이 짓물러서 나는 피 같다고 하셨다.소변을 볼 때마다 확인할 수 있을 때는 스트레스였지만 양이 많지 않아 걱정하지 않아도 된다며 안심하고 지냈다.

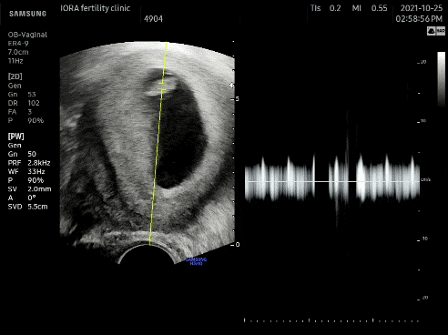
#심장음 #울롱삼 #초음파 전전주에 작은 심장음을 들었다면 7주차에는 큰 소리로 심장음을 들었다.콩알만 한데도 심장소리가 들리다니ㅠㅠ초음파를 볼 때마다 감동 아직 손발이 생기기 전이라 몸통과 머리만 있는 건장한 게 ㅎㅎ 2두신이다 귀여워 ㅎㅎ 의사선생님께서 아이는 7주차에 맞춰 잘 자라고 마음소리도 좋아서 다 좋다고 하셨다.입덧을 하며 “못 먹어도 너만 잘 컸으면 좋겠어”라고 건강에게 속삭였다. 건강하게 자라네아가ㅠㅠ!!
#입덧, 양치질로 개고생 ㅋㅋㅋ 울렁거리는건 왜 적응이 안되는지.. 음식도 안먹고 물도 안마시고 정말 폐인처럼 지낸 한주였다.양치질도 고생했는데 조심해서 닦아도 웩웩하는건 어쩔 수 없는걸까 양치질하고 트라우마가 생길 것 같은ㅋㅋㅋㅋ 임신 초기에는 정말 조심해서 누워있으라고 했지만 나는 정말 힘이 없어서 계속 하루종일 잠만 잤어^^;;오빠도 내가 얼마나 불쌍해 보였는지 ㅠㅠ 옆에서 안타까워하는 게 너무 보여… 입덧에도 갑상선약 신디로이드는 아침에 일어나자마자 먹어야 했는데.. 이거 먹기가 정말 힘들었어.그렇지 않아도 뭘 다 먹지도 못하는데 아침에 일어나자마자 약을 먹어야 했고, 속이 메스꺼워져도 30분 동안 다른 걸 먹으면 안 되는 약이어서 먹을 때마다 걱정… 약간의 스트레스 같은 약이었다.( ´ ; ω ; ` )
임신 8주차 – 여전히 입덧,

8주차도 7주차와 비슷했다. 입덧으로 내 몸 상태에서도 계속 나쁜 상태가 이어졌기 때문에 고생의 연속이었다.병원 갈 때 빼고는 거의 누워 있어서 바깥 공기에도 거의 맞지 않고 집 안!

8주차 아이올라 방문! #초음파 몸통과 머리를 구별할 수 있는 튼튼함!흐흐흐 아 귀여워 너무 귀여워튼튼함이 잘 자라고 있구나! 훌륭하네!!점점 성장하는걸 초음파로 보면 나도 만족, 오빠도 만족. 이 순간만큼은 입덧도 감사(아이가 잘 자라고 있어서 입덧도 많이 나니까) 너만 잘 자라주면 뭐든지 좋아. 라는 생각으로 참는 것이,

#입덧 #수액 #입덧수액 8주차에도 입덧수액을 받았다.오래 가지 못한다는 것을 알고 있었지만.. 조금이라도 사람처럼 지내고 싶었기 때문에.. 수액을 받을 때도 누워있기가 힘들었고 참으면서 맞았지만 이날도 끝까지 다 받지 못하고 1시간 정도 지나서 중간에 빼달라고 했다.언제쯤 사람처럼 살 수 있을까. 거의 미쳐가던 8주.

#크래커 #입덧사탕 #통풀기 완화 좀 살아보려고 검색 시작. 친구들의 의견도 듣기 시작한다.입덧 완화를 위해 노력이라는 것을 할 여유가 조금 생겼다고 할까, 이 입덧에 조금 적응을 했다고 할까… 어쨌든 아이비 크래커는 향도 별로 없고 맛도 별로 없어서 화가 날 때 먹어주면 좀 진정시켜 준다고 해서 몇 개 사 먹어봤는데? 생각보다 괜찮다고 생각했는데 오래 가지 못했어입덧사탕도 오빠가 먹어보라고 사줬는데 별 효과가… 없었다는… 침만 더 고여ㅋㅋ
과음하면 다음날은 좀 짜증나는 것도 싫어서 술도 마시지 않는 내가 마치 매일 술을 마시며 허둥지둥하는 것처럼 하루하루를 보냈다. 신음소리가 하루 종일 계속되었는데 특정 시간은 더 폭발적으로 울렸다고나 할까.어떤 시간은 잔잔한 바다에 보트를 타고 있는 느낌, 어떤 시간은 엄청나게 출렁이는 바다에 나무 판자에 혼자 타고 있는 느낌. 울컥했던 표현이 제대로 됐는지 잘 모르겠다 갑자기 울렁거릴 때는 구토로 이어지고 입에 침은 왜 자꾸 나오는지 침이 고이고 침을 삼키면 다시 울컥거리고 울컥하고 (#침이라고 부르는 거 그거) 정말 너무~ 무심했는데 지금 생각해보면 어떻게 참았을까ㅠㅠ그대로 시간이 약일 거라고 버틴 7,8주차. 그렇다고 그 다음 주가 편했던 걸까. 고건은 아니지만 그래도 다른 산모들은 변비, 피부트러블 이런 것도 추가로 할 수 있다지만 나는 변비와 피부트러블은 없었다. (나름..위로..)
7, 8주차 나도 고생 고생 고생했는데 옆에서 보고 있는 오빠도 고생했나 보다이때는 진짜 내가 뭘하면 바로 다 해줘 ㅋㅋㅋㅋㅋㅋㅋㅋㅋㅋㅋㅋㅋㅋㅋㅋㅋㅋㅋㅋㅋㅋㅋㅋㅋㅋㅋㅋㅋㅋㅋㅋㅋㅋㅋㅋㅋㅋㅋㅋㅋㅋㅋㅋㅋㅋㅋㅋㅋㅋㅋㅋㅋㅋㅋㅋㅋㅋㅋㅋㅋㅋㅋㅋ모든 형이 다 할 수 있는거 다 해줘 ㅋㅋㅋㅋㅋㅋㅋㅋㅋㅋㅋㅋㅋㅋㅋㅋㅋㅋㅋㅋㅋㅋㅋㅋㅋㅋㅋㅋㅋㅋㅋㅋㅋㅋㅋㅋㅋㅋㅋㅋㅋㅋㅋㅋㅋㅋㅋㅋㅋㅋㅋㅋㅋㅋㅋㅋㅋㅋㅋㅋ모든게 다 고생하는거까지 다 해줘 ㅋㅋㅋㅋㅋㅋㅋㅋㅋㅋㅋㅋㅋㅋㅋㅋㅋㅋㅋㅋㅋㅋㅋ