
강아지 방광결석 및 이물질실 삼킴사고 오늘은 4살이 된 포메라니안 별*이 장내 이물질로 인한 방광결석으로 저희 병원에 내원해 주셨습니다.
별이의 경우 밥은 조금씩 먹지만 3일 동안 구토를 계속하고 다이어트 중이라고 합니다.
강아지가 평소에도 식욕이나 이물질에 관심이 많은 편이었고 계속되는 구토로 인해 이상을 느낀 학부모님께서 병원을 찾아주셨습니다.위험한 개 삼킴 사고로 이번 사례처럼 개는 가끔 먹으면 안 되는 음식을 먹곤 합니다.
특히 호기심이 많은 강아지의 경우 물건을 삼킬 수 있어 관심이 필요합니다.
이물질 섭취 시 보호자께서 바로 발견하시면 신속한 조치가 가능하나,
강아지가 혼자 있거나 발견하지 못하면 그만큼 후속조치가 늦어져 위험해지기 때문에
개가 구토를 계속하거나 계속되는 간지러운 증상이 있는 경우에는 검사를 받는 것이 좋습니다.
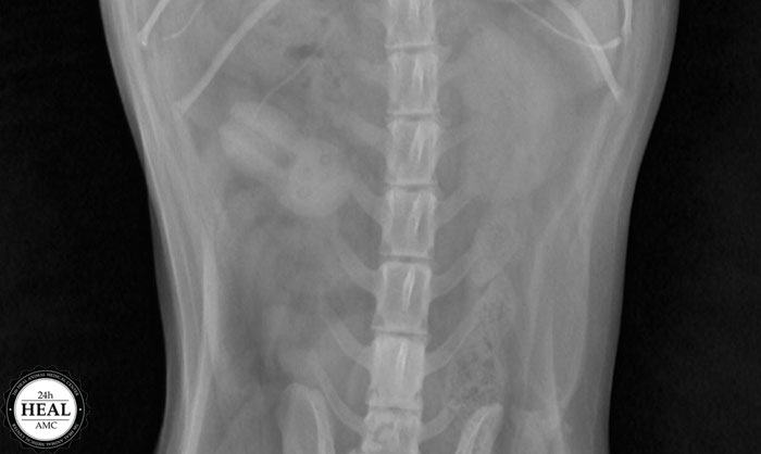
대부분 이물질을 삼킨 후 구토로 토하는 경우도 있지만 날카로운 이물질만큼 강아지의 장기를 손상시킬 수 있으므로 빨리 제거해야 합니다.엑스레이 검사





수술을 하기 전에는 반드시 상태 확인을 위한 초음파와 엑스레이 검사를 하는데
엑스레이를 찍어보니 오른쪽 상복부에 이물질이 있음을 확인한 이물질 소견이 있었습니다.
이렇게 이물질이 있는 경우 엑스레이 촬영과 초음파 검사로 진단할 수 있습니다.
이물질이 우측 신장 위와 위장 아래에 위치하고 있음을 확인할 수 있으며,
이물질의 크기는 2~3cm 정도의 크기였습니다.
이물질 감별을 위한 x선 검사와 초음파 검사를 진행하던 중 방광 측에도 결석 소견이 함께 발견되어
결론적으로 장내 이물질과 방광결석으로 진단하였습니다.
이물질이 위에 없고 현재는 장으로 전달된 상태에서 마취 전 검사도 함께 하고,
마취 가능한 부분을 확인하고 진행하게 됩니다.
기본적인 수액처치를 한 후 응급수술을 시행하고 방광결석도 함께 확인되어 장절개수술과 방광결석수술을 동시에 시행하였습니다.개의 방광결석의 원인인 개의 방광결석은 잘못된 식습관, 방광염이 있을 경우 결석이 생길 수 있으며,
하나의 원인이 아닌 복합적으로 작용할 수 있음을 명심하세요!
개의 방광결석이 있는 경우 혈뇨를 동반한 빈뇨 증상, 소변이 나오지 않는 경우도 있습니다.
그래서 위와 같이 개가 조금이라도 평소와는 다른 행동이나 증상이 있으면 검사가 필요하겠죠?개의 방광 결석 수술 과정


십이지장 쪽 이물질을 확인하고 제거하는 수술을 했습니다.
그 외에도 장내 이물질 제거 외에 방광결석을 31개나 제거했습니다.
이번 수술뿐만 아니라 많은 학부모님들께서 강아지가 이물질을 삼켜 문제가 생겨 동물병원을 찾는 경우가 많은데,
특히 호기심이 많은 강아지일수록 이물질을 꿀꺽 삼킬 수 있으므로 반드시 주의시키는 것이 좋습니다.

무사히 방광결석과 이물질 제거를 완료하고 향후 모니터링도 함께 필요해 보였습니다.
강아지는 이물질에 대한 주의가 반드시 필요하므로 행동적 교정이 요구되며
방광 결석에 관해 3개월 이상의 처방식 푸드를 복용하도록 했습니다.
특히 개의 방광결석은 재발하기 쉽기 때문에 장기적인 초음파 검사도 필요하다는 것을 잊지 마십시오.
인천광역시 연수구 컨벤시아대로 55 송도 이안상가