#은평구24시동물병원 #24시스마트동물메디컬센터 #24시스마트동물병원
개 자궁 축농증 수술 & 다이오드 레이저

은평구24시동물병원_24시스마트동물메디컬센터_아메리칸 브리 강아지 2세 암컷 자궁축농증 수술 & 다이오드 레이저
안녕하세요. #은평구 24시 동물병원 #24시 스마트동물메디컬센터입니다.
오늘은 2살 암컷 아메리칸이라고 불리는 개의 자궁 축농증 수술과 다이오드 레이저의 사례를 보여 드리겠습니다.
자궁축농증 자궁내에 염증성 물질이 축적되는 증상 중성화되지 않은 6세 전후의 암캐, 고양이에게 자주 발생하는 자궁질환 자궁축농증이 지속되며 자궁파열시 복막염으로 생명에 위협을 줄 수 있습니다.
자궁축농증상 생리 2개월 전후에 발생 기력저하후 다뇨구토식욕부진
▶개방형 자궁축농 증점액질, 농성 또는 혈액성질 분비물, 전신 증상
▶폐쇄형 자궁축농 증질분비물이 없는 상태
자궁 축농증 치료 자궁 난소 절제 수술
자궁 축농증의 초기의 경우는 절제 수술 시에는 예후를 권장하고 있습니다.수술을 하지 않으면 간, 신장 손상이나 자궁 파열 시에 복막염을 생각할 수 있습니다.
다이오드 레이저
미세정밀수술이 가능한 출혈이 적어 빠른 회복에 도움을 주는 통증과 부작용이 적은 일반외과수술, 연조직제거, 피부종양 및 염증제거 등


은평구24시동물병원_24시스마트동물메디컬센터_아메리칸 브리 강아지 2세 암컷 자궁축농증 수술 & 다이오드 레이저
아메리칸 브리/2세/암컷/25kg
오늘 소개해드릴 아이는 내원하기 며칠 전부터 생식기에서 농담이 나와서 저희 24시 스마트 동물 메디컬센터를 찾아주셨습니다.
중성화하지 않았기 때문에 생리를 최근에도 하고 있고, 대변도 느슨해져 설사 증상도 있었다고 합니다.
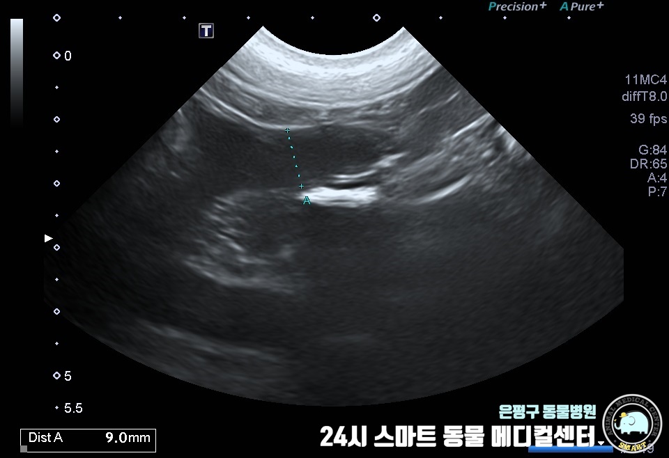
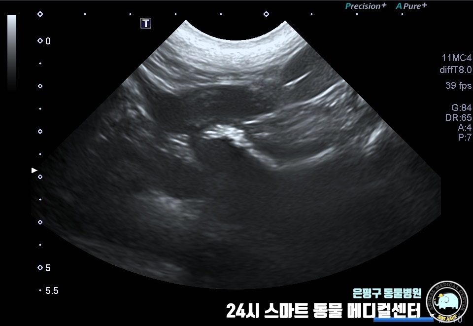
생식기에 황농이 확인되어 자궁경부측의 감염 가능성이 있는 것으로 보이며, 검사 결과 자궁축농증으로 확인되었습니다.
보호자 분과 상담을 한 후 다음날 수술을 하기로 했습니다.








은평구24시동물병원_24시스마트동물메디컬센터_아메리칸 브리 강아지 2세 암컷 자궁축농증 수술 & 다이오드 레이저
자궁을 적출하고 봉합하여 수술을 마무리하였습니다.
질 주변의 고름이 관찰되었으며 자궁부에서는 약간의 확장과 출혈이 관찰되었습니다.
또한 양쪽 난소 주변에 난소 낭종이 다수 인정되었으므로 항생제 감수성 테스트를 의뢰하여 실시했습니다.


은평구24시동물병원_24시스마트동물메디컬센터_아메리칸 브리 강아지 2세 암컷 자궁축농증 수술 & 다이오드 레이저
수술 당일 좌측 뒷발 패드 부근에 상피 변형종이 발견되는 이어드 레이저로 제거하고 있습니다.
다이오드 레이저술은 흉터가 적고 수술 시간이나 통증, 출혈을 최소화할 수 있는 점과 수술 후 빠른 회복이 가능한 점이 있습니다.
중성화 수술로 자궁축농증을 예방할 수 있습니다.자궁축농증 외에도 유선종양 자궁종양 난소종양 질디스크 상체임신 등도 예방할 수 있습니다.
소중한 자녀의 진료를 맡겨 주셔서 보호자 가족분들께 감사드립니다.24시간 아이 케어를 위해 노력하겠습니다.자세한 문의는 병원으로 전화문의 바랍니다.

서울특별시 은평구 은평로 9 3