예기치 못한 교통사고로 피해를 입으면 그에 상응하는 보상을 받아야 하지만,
보험 회사의 완강한 태도에 오히려 피해자가 피해를 당하는 경우가 늘고 있습니다.
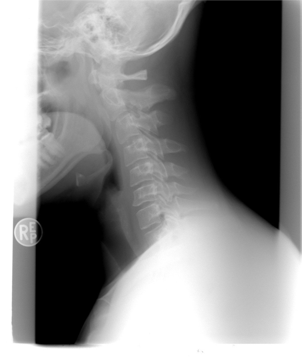
오늘은 교통사고 합의에서 분쟁 발생 위험이 있는 경추 골절의 진단을 안내하겠습니다.
교통사고 경추 골절

© pixtastock , 출처
척추뼈 중 가장 윗부분에 해당하는 경추는 교통사고 발생 시 머리에 직접 충격이 가해진 경우에 압박골절 형태로 골절이 발생합니다.
압박 골절은 단어 그대로 강한 외력을 원인으로 뼈가 충격을 받아 압박되는 형태의 골절을 말합니다.
장비착용, 물리치료와 같은 보존적 치료를 우선적으로 시행하고 있는데,
신경 손상이 수반되거나 골절 정도가 심한 경우는 수술을 통한 치료를 생각할 수 있습니다.
교통사고 경추 골절 합의

© hkgoldstein 0 , 출처 Pixab ay
압박골절이 발생하면 충분한 치료과정을 거쳤다 하더라도 척추동체골이 눌린 상태가 지속됩니다.
이는 척추 관절의 변형을 일으키며, 여러 가지 후유증을 동반합니다.
또한 경추의 경우 다른 관절과 달리 머리와 척추를 연결하는 관절로 중요한 신경이 자리잡고 있기 때문에 압박골절이 발생하면 심각한 후유증이 생깁니다.
이러한 후유증은 교통사고 합의 항목에서 상실수익액의 항목으로 인정되는 경우가 있습니다.
합의 과정의 난점

보산토크 김기덕 팀장
상실수익액을 통해 후유증을 보상받을 수 있음에도 보험사는 합의과정에서 이를 쉽게 안내하지 않습니다.
왜 그랬을까요?
위자료, 휴업 손해, 기타 치료비 등 다른 합의 항목을 합한 것보다 상실수익액의 단일 항목 규모가 훨씬 크기 때문입니다.
상실수익액을 완전히 인정하는 경우 피해자에게 지급해야 할 합의금이 많아져 보험사 입장에서는 큰 손해가 발생하게 됩니다.
따라서 방어를 위해서 안내조차 하지 않고 방어적인 태도를 보이고 있으며,
최소한의 합의금으로 서둘러 교통사고의 경추 골절 합의를 종결시키려는 태도를 보입니다.
● 전문가의 도움을 받으세요.

© geralt , 출처 Pixabay
보험사가 제시하는 여러 근거에 적절히 대응하지 못하면 내가 입은 피해 규모에 걸맞은 제대로 된 보상을 기대하기 어렵습니다.
교통사고 경추골절 같은 보험사가 쉽게 인정하지 않는 진단의 경우 개인이 어설픈 합의를 추진할 것이 아니라 전문가의 도움을 받아 신중하게 접근해야 합니다.
청구 전 단계부터 분쟁 요소를 사전에 예측하고 적절히 대응해야 1만원만큼 합의가 이뤄진다는 것을 꼭 기억하세요.
자세한 문의는 아래를 이용해주세요.
피해자 입장에서 만족할 수 있는 합의가 이루어지도록 최선을 다해 도와드리겠습니다.
오랜 실무경험을 통해 부당하지 않은 합리적인 손해사정으로 내 가족처럼 끝까지 책임지고 도와줘… blog.naver.com